华体会(中国)-华体会(中国) 行业资讯 政策法规 产业市场 节能技术 能源信息 宏观环境 会议会展 活动图库 资料下载 焦点专题 智囊团 企业库
宏观环境  节能产业网 >> 宏观环境 >> 商业资讯 >> 正文
中老年人易患黄斑变性 昆明眼科医院:50岁后别大意!
来源:节能产业网 时间:2020/7/23 9:46:14 用手机浏览

人上了年纪,身体容易出问题,反应在眼睛这一部位,大多数就是视力下降。当眼睛出现看不清时,很多老人都会认为是老花,往往没有太在意。

确实,年龄增长导致眼睛的晶体慢慢硬化和老化,失去调节能力,出现老花眼是正常的生理现象。

不过,还有一种慢性眼病常发于中老年人,其早期常发症状也是视物模糊,无明显不适感,但它的危害不容小觑,发展至晚期能造成不可逆的视力损伤,那就是——老年性黄斑变性(AMD)。

根据钱江晚报报道,我国的一项调查表明中国50岁以上中老年人中黄斑变性的患病率高达15.5%,70岁以上患病率达到20.2%,即50岁以上的中老年人中,约每7人就有1人是黄斑变性患者。

老年性黄斑变性是什么来头?

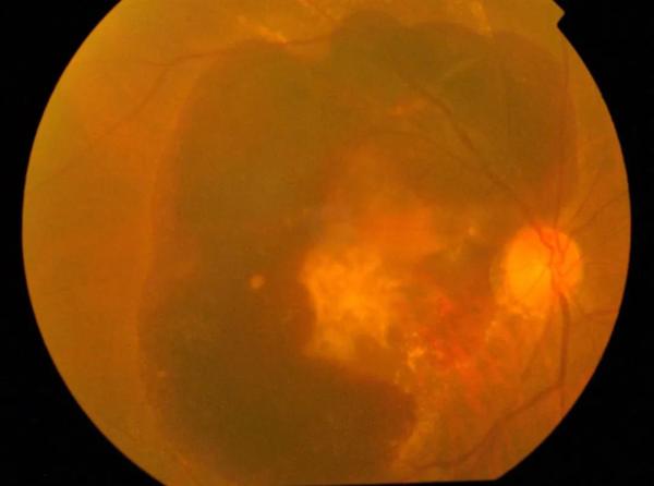
老年性黄斑变性,主要是视网膜黄斑区域的衰退性改变,它可分为「干性」和「湿性」两种。

「干性」主要是视网膜内出现黄色小点状的沉积,初期视物昏朦,像是轻纱薄雾遮挡。随着病情发展,视物模糊逐渐加重,眼前出现固定暗影,视物变形。

与干性病变相比,「湿性」的黄斑变性恶化更为迅速,还可能导致严重的中心视力丧失。

脉络膜出现不正常的新生血管是「湿性」病变的主要成因,这些新生的脉络膜血管容易渗漏和出血。

若没有得到妥善处理,血液和渗出物会在黄斑区积聚,破坏区内的感光细胞,最终造成不能弥补的视力受损。

湿性老年性黄斑变性

阿姆斯勒方格表,可检查早期黄斑病变

随着社会老龄化,老年性黄斑变性发病率有增高趋势。眼科专家表示,老年性黄斑变性虽然无法根治,但早发现、早治疗,有助于改善或稳定病情,避免致盲。

除了临床检查外,我们可以用「阿姆斯勒方格表」做简单的自我检查早期黄斑病变,检查步骤如下:

❶把方格表放在视平线30厘米的距离,光线要充足及平均;

❷如有老花或近视人士,需佩戴原有的眼镜进行测试;

❸用手盖着左眼,右眼凝视方格表中心的黑点或暗点;

❹重复步骤1至3检查左眼。

阿姆斯勒方格表

当凝视中心的黑点时,发现方格表中心出现空缺或扭曲,或在中心范围出现黑点或暗点,则可能是患上老年性黄斑变性,应尽早到医院做全面的眼科检查。若自检结果如右图所示,应尽早到医院就诊!

记住以下建议,可降低黄斑变性风险

老年性黄斑变性发病机制十分复杂,与氧化应激、炎症反应、过度的日光照射、遗传和环境因素等均有关联。

年龄增长被认为是最重要的致病原因,吸烟、高血压和高胆固醇等也是不可忽视的重要危险因素。

其中,吸烟更是临床已证实的高危险因子。根据《钱江晚报》报道,吸烟的人罹患老年黄斑疾病的可能性比不吸烟的人高出4倍。所以,戒烟是吸烟者预防老年性黄斑变性最重要的工作,对于一般人则应尽量避免吸入二手烟。

高血压、糖尿病、高胆固醇等全身性慢性疾病患者,则应根据医嘱积极治疗,控制血糖、血压,以免引起眼部并发症。昆明眼科医院http://www.yncmer.com建议50岁以上人群和有老年性黄斑变性家族史的人群定期检查眼底,重视黄斑部情况。

日光照射方面,在强光下建议戴合适的太阳眼镜,以避免有害的蓝色光谱。




分享到:
相关文章 iTAG:
中老年人易患黄斑变性 昆明眼科医院:50岁后别大意!
频道推荐
服务中心
微信公众号

CESI
关于本站
版权声明
广告投放
网站帮助
联系我们
网站服务
会员服务
最新项目
资金服务
园区招商
展会合作
节能产业网是以互联网+节能为核心构建的线上线下相结合的一站式节能服务平台。
©2007-2020 CHINA-ESI.COM
鄂ICP备19009381号-2
节能QQ群:39847109
顶部客服微信二维码底部
扫描二维码关注官方公众微信