华体会(中国)-华体会(中国) 行业资讯 政策法规 产业市场 节能技术 能源信息 宏观环境 会议会展 活动图库 资料下载 焦点专题 智囊团 企业库
宏观环境  节能产业网 >> 宏观环境 >> 商业资讯 >> 正文
“口福行动”让80岁高龄老人缺牙重生
来源:节能产业网 时间:2020/8/1 9:57:21 用手机浏览

“十年不识肉滋味,缺牙之苦谁知晓”,这句话听起来也许很夸张,但确实是孙爷爷的日常生活写照。

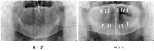
82岁的孙爷爷,10年前就已全口无牙,一直戴着活动假牙勉强吃饭。

近3年,活动假牙松动厉害,一吃东西就脱落,孙爷爷只能喝打成糊状的蔬菜和肉,“我看到这些,一点胃口都没有,肚子还空着,嘴里又吃不下,不知道是饿还是饱。总之吃饭好似‘上刑场’一样。”牙齿的缺失,让孙爷爷无比怀念老伴做的红烧肉,渴望重新拥有一口健全、有强劲咀嚼力的好牙,回到可以开怀大笑的日子。

偶然间,在社区举办的“修复失牙·口福行动”公益活动,实现了孙爷爷的种牙梦。

如今种牙1年后,孙叔叔的生活质量得到改善,一日三餐饮食结构丰富,红烧肉、苹果、坚果样样都能轻松消化,“多亏在‘修复失牙·口福行动’公益活动上遇见綦健院长,我现在精气神十足,邻居都说我年轻了10岁。”重获新牙的孙爷爷高兴道。

(缺牙患者到‘修复失牙·口福行动’指定口腔机构就诊)

“在‘修复失牙·口福行动’公益活动中,有很多孙爷爷这样的患者。”北京维乐口腔綦健院长介绍:“牙齿就像公路上的汽车,启动需要能源,而牙齿就像汽车的发动机,源源不断给身体运转提供能源。汽车最终能走多远,就看能源有多少。同样的,齿龄=寿龄,老人拥有一口好牙,有助于食物消化,促进营养吸收,从而改善机体健康,延缓衰老,延长生命。维乐口腔举办‘修复失牙·口福行动’公益活动就是希望帮北京市民重拾口福,拥有健康的身体。”

据悉,“修复失牙 口福行动”自2018年启动至今,得到越来越多全国各地缺牙患者的认可,如今活动覆盖范围辐射至北京、上海、武汉、青岛、等145家口腔医疗机构,其影响力也成功吸引了许多热心于公益事业的医生、医疗机构负责人、种植体厂家、义齿加工厂踊跃加入,先后涌现了众多公益宣传员、公益大使及数以千计的义工,帮助更多缺牙市民了解口福行动、参与口福行动,并最终在此喜获一口年轻好牙、改善生活、提升晚年生活质量。




分享到:
相关文章 iTAG:
没有相关文章
频道推荐
服务中心
微信公众号

CESI
关于本站
版权声明
广告投放
网站帮助
联系我们
网站服务
会员服务
最新项目
资金服务
园区招商
展会合作
节能产业网是以互联网+节能为核心构建的线上线下相结合的一站式节能服务平台。
©2007-2020 CHINA-ESI.COM
鄂ICP备19009381号-2
节能QQ群:39847109
顶部客服微信二维码底部
扫描二维码关注官方公众微信