华体会(中国)-华体会(中国) 行业资讯 政策法规 产业市场 节能技术 能源信息 宏观环境 会议会展 活动图库 资料下载 焦点专题 智囊团 企业库
行业资讯  节能产业网 >> 行业资讯 >> 国内资讯 >> 正文
突发急诊致意识丧失的青春女孩,颅内多发感染脑积水傅继弟教授治疗
来源:节能产业网 时间:2020/5/22 9:41:25 用手机浏览

9102年5月航空总医院神经外七科傅继弟教授团队接诊一例年轻女性患者由颅内多发结核脓肿、结核性脑膜炎、脑积水病例,患者康复后再次返回校园生活。

据患者家属介绍,患者入院2月前出现头痛、呕吐、发热症状,最高体温38.4度,至神木县医院急诊外科,检查途中突然出现四肢软瘫、呼喊不止,随即意识丧失、大小便失禁,紧急收入ICU,新腰椎穿刺检查:CSF常规:细胞总数1548×106/L,淋巴细胞百分比56.8%,蛋白2266mg/l,糖1.15mmol/l,考虑结核性脑膜炎,收入ICU。

初步考虑:

1、中枢性感染化脓性脑膜炎? 结核性脑膜炎?隐球菌性脑膜炎?

2、右眼外伤。给予经口气管内插管,呼吸机辅助呼吸,脑脊液萋尼法抗酸染色(+)。

4月25日转至北京,腰椎穿刺测压>330mmHg,5月15日颅压185mmH2O,体温正常,但左眼睑下垂无改善。

5月18日转入航空总医院神经外七科,患者神清,精神差,对答可,双瞳孔L:R=4:3,左侧对光反射消失,右侧可,视物重影。左眼睑、鼻部、下颌及左侧肢体感觉减退。右侧肢体肌力4级,左侧肢体肌力3级+。双侧病理征阴性。

5月22日给予患者行侧脑室外引流术,术后脑脊液色黄微浊。

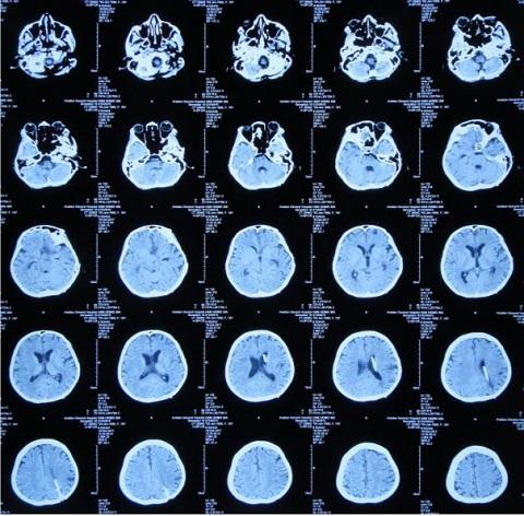
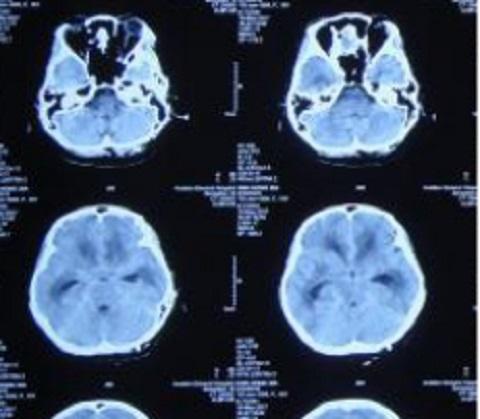
6月20日,引流脑脊液仍然色黄浑浊,复查头CT环池、鞍区仍然密度升高、间隙消失。

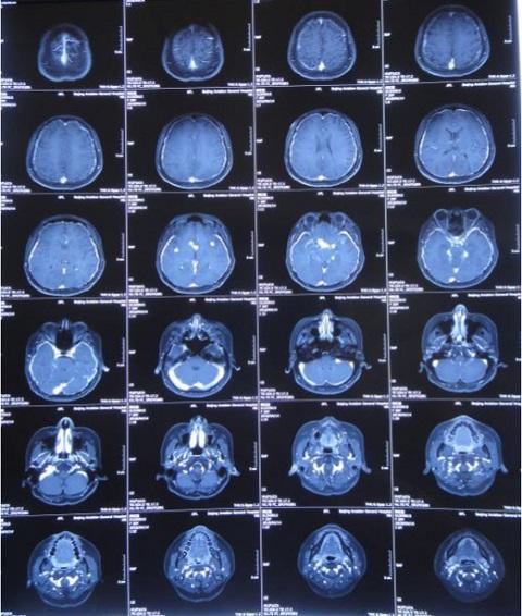
8月16日,患者脑脊液仍然色黄浑浊,复查增强MRI现实四叠体池区、鞍区、环池内多发结核脓肿。

10月18日,患者脑脊液外观基本清亮,增强头MRI现实仍然课件鞍区多发结核脓肿、四叠体池、环池内病变明显改善。

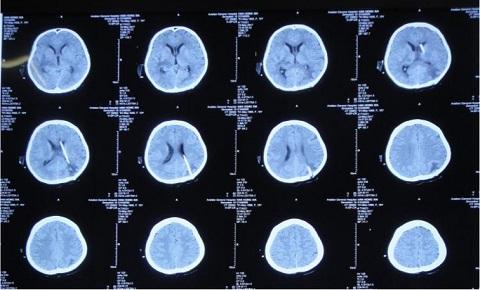
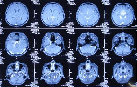
10月20日,行分流手术,术后复查增强头MRI见图。

最后,航空总医院神经外七科颅内感染治疗傅继弟教授团队,祝愿小患者康复后再次返回校园,开始大学生活,也祝愿她这段归来不易的人生越来越好。

航空总医院神经外七科

傅继弟教授主任医师

出诊时间:周一、周三(全天)

航空总医院神经外七科

潘栋超主治医师

出诊时间:周一、周三、周五上午




分享到:
相关文章 iTAG:
没有相关文章
频道推荐
服务中心
微信公众号

CESI
关于本站
版权声明
广告投放
网站帮助
联系我们
网站服务
会员服务
最新项目
资金服务
园区招商
展会合作
节能产业网是以互联网+节能为核心构建的线上线下相结合的一站式节能服务平台。
©2007-2020 CHINA-ESI.COM
鄂ICP备19009381号-2
节能QQ群:39847109
顶部客服微信二维码底部
扫描二维码关注官方公众微信